อาการปุ่มกระดูกหรือกระดูกงอกในช่องปาก

จำนวนผู้เข้าชม : 1998 ครั้ง

อาการปุ่มกระดูกหรือกระดูกงอกในช่องปาก พบได้ในบางคนซึ่งสาเหตุของการเกิดนั้นยังไม่แน่ชัด อาจเกิดจากพันธุกรรม เชื้อชาติ เพศ อายุ และมักเกี่ยวข้องกับแรงบดเคี้ยวปริมาณมาก เช่น มีนิสัยขบเค้นฟันในเวลากลางวัน หรือนอนกัดฟันในเวลากลางคืน

ทพญ.เกศนี คูณทวีทรัพย์ ฝ่ายทันตกรรม รพ.จุฬาลงกรณ์ สภากาชาดไทย อธิบายว่า 

ปุ่มก้อนกระดูกงอกในช่องปากนี้จะค่อยๆ โตขึ้นอย่างช้าๆ ค่อยเป็นค่อยไปตามช่วงอายุ จึงทำให้ไม่พบในเด็ก แต่มักเริ่มพบได้ในวัยหนุ่มสาว ทั้งนี้ ปุ่มกระดูกงอกจะโตช้าลงจนสามารถหยุดโตเองได้ โดยปุ่มกระดูกงอกในช่องปากมีรูปร่างไม่แน่นอนในแต่ละคน มีความแข็ง พื้นผิวปกคลุมด้วยเหงือกสีชมพูที่มีลักษณะเช่นเดียวกับเหงือกบริเวณอื่นๆ ในช่องปาก ไม่ก่อให้เกิดความเจ็บปวดใดๆ ทำให้ผู้ป่วยไม่รู้สึกตัว หากปุ่มก้อนกระดูกงอกนั้นมีขนาดไม่ใหญ่นัก สามารถพบได้ในบริเวณต่างๆ ของช่องปาก ได้แก่

Torus palatinus ปุ่มกระดูกบริเวณเพดาน เป็นปุ่มกระดูกงอกซึ่งมักจะอยู่บริเวณกึ่งกลางเพดานแข็งในปาก มีขนาดที่แตกต่างกันไป อาจเป็นก้อนเดี่ยวหรือหลายก้อนรวมๆ กัน ทำให้มองดูคล้ายผิวมะกรูด

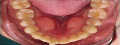
Torus mandibularis ปุ่มกระดูกงอกบริเวณขากรรไกรล่าง พบบริเวณสันเหงือกด้านลิ้นของขากรรไกรล่าง สามารถพบได้ทั้งข้างซ้ายและข้างขวา โดยจะอยู่ถัดจากฟันเขี้ยวเข้าไปด้านหลัง

Exostosis ปุ่มกระดูกผิวขรุขระ พบได้ในบริเวณเหงือกด้านชิดแก้มโดยรอบของขากรรไกร

เนื่องจากปุ่มกระดูกนี้ไม่ก่อให้เกิดอาการใดๆ ดังนั้น ผู้ป่วยจึงมักจะสังเกตเห็นหรือรู้สึกตัวเมื่อปุ่มกระดูกนั้นมีขนาดใหญ่พอสมควร ทำให้ผู้ป่วยเกิดความกังวล บางรายมาพบทันตแพทย์เพราะกลัวเป็นมะเร็งในช่องปาก แต่แท้จริงแล้ว ภาวะปุ่มกระดูกงอกนี้ไม่ก่อให้เกิดอันตรายร้ายแรงแต่อย่างใด หากทำการตรวจด้วยภาพถ่ายรังสีก็จะพบว่าเป็นปุ่มหรือก้อนกระดูกงอกออกมาจากกระดูกปกติ ไม่พบรอยโรคหรือความผิดปกติอื่นๆ ร่วมด้วย จึงไม่จำเป็นต้องได้รับการรักษา 

ยกเว้นบางกรณีมีข้อบ่งชี้ที่ต้องรับการรักษา คือ


1. ปุ่มกระดูกมีขนาดใหญ่มากจนขัดขวางการรับประทานอาหาร มีเศษอาหารติดบริเวณซอกของปุ่มกระดูก ยากแก่การทำความสะอาด ส่งผลต่อการดูแลสุขภาพช่องปากของผู้ป่วย ทำให้เกิดการหมักหมมและการสะสมของแบคทีเรียในช่องปาก ก่อให้เกิดกลิ่นปาก หรือในผู้ป่วยบางรายทำให้เกิดปัญหาด้านการพูด


2. เนื้อเยื่อที่ปกคลุมบริเวณปุ่มกระดูกงอกเกิดเป็นแผลบ่อยครั้ง หรือเป็นแผลเรื้อรังจากการรับประทานอาหาร หรือการแปรงฟันไปกระแทกโดนบริเวณนั้นบ่อยๆ 3.ทันตแพทย์ใส่ฟันพิจารณาแล้วว่าปุ่มกระดูกงอกนั้นขัดขวางต่อการใส่ฟันปลอม เพราะโครงฐานของฟันปลอมต้องพาดผ่านส่วนที่มีปุ่มกระดูกงอกนี้ หากใส่ฟันปลอมทับปุ่มกระดูกไปเลย จะทำให้เกิดการกดทับ เจ็บ และเกิดแผลเรื้อรังได้

สำหรับวิธีการรักษา ได้แก่ การผ่าตัดเอาปุ่มกระดูกงอกออก ถือเป็นการผ่าตัดเล็ก โดยมากสามารถทำได้ด้วยการฉีดยาชาเฉพาะที่ แต่ภายหลังการผ่าตัดอาจเกิดปุ่มกระดูกงอกขึ้นใหม่อย่างช้าๆ เช่นเดิมได้ ดังนั้น ทันตแพทย์จึงพิจารณาผ่าตัดเฉพาะในผู้ป่วยรายที่มีข้อบ่งชี้เท่านั้น หากผู้ป่วยมีปุ่มกระดูกงอกและมีข้อสงสัยถึงความจำเป็นในการรักษา สามารถปรึกษาทันตแพทย์เพื่อรับการตรวจและวางแผนการรักษาที่เหมาะสมต่อไป


 

Recent Posts